Rabbi Yanky Super using his emergency services radio
Share and Follow

Volunteers from the Jewish emergency service, Hatzolah, were among the first responders to arrive at the scene of the recent terror attack in Bondi.

Rabbi Yanky Super, serving as a medic during the Hanukkah event on Sunday, found himself under fire during the attack.

Currently hospitalized, Rabbi Super narrowly escaped a fatal outcome, thanks to a walkie-talkie-style radio that deflected a potentially deadly bullet.

Rabbi Yanky Super using his emergency services radio
Rabbi Yanky Super was among them as a medic on duty at the Hanukkah event on Sunday when he came under fire. (9News)

He sustained gunshot wounds to his chest and back, leaving his body embedded with bullet fragments.

Rabbi Super is now receiving treatment in the intensive care unit at Royal North Shore Hospital as he begins his recovery journey.

But he cannot believe he is alive and neither can the man who rushed to his aid.

“God saved his life through his speaker mic,” Rabbi Mendy Litzman told 9News.

“He actually got shot [and] that would be for sure a kill shot.”

Litzman, who is also a Hatzolah emergency first responder, was helping Super when he saw his friend, rabbi Eli Schlanger, shot on the ground.

Litzman tried to save Schlanger, but he died.

“One of the hardest parts of the whole event was seeing my friend like that and having to leave and move on to the next person,” Litzman said.

Rabbi Yanky Super in ICU at Royal North Shore hospital
The rabbi is now in hospital, having narrowly avoided death after a well-placed walkie-talkie-style radio prevented a bullet from delivering a fatal shot. (9News)

Schlanger is one of the 15 people killed when the Akram father and son pair opened fire on the Jewish community, who were celebrating the first day of Hanukkah at the beach.

Litzman, 44, described the scenes as a “warzone” as he and other volunteers turned a section of the popular tourist destination into a makeshift emergency ward.

As that emergency unfolded on land, just 100 metres away, another crisis played out in the water.

Bondi lifeguard Rory Davey was sheltering on the sand behind a beach buggy with around 30 people when he noticed two men struggling in the water.

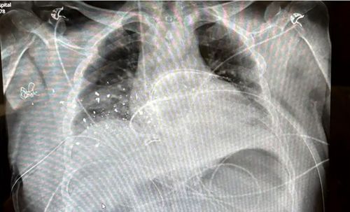
Rabbi Yanky Super's chest x-ray
He was shot in the chest and back, which left his body peppered with bullet fragments. (9News)

“I just see two men going under the water and can’t get back in, so I just had to grab my board and go out while shots were still going on,” Davey told 9News.

Lifeguard Daniel McLaughlin praised the work of his team as well as strangers for coming together during the dark and chaotic time.

“There was no victim or patient on the floor who didn’t have people trying their absolute best [to help them],” he told 9News.

If you have been impacted by the terror attack in Bondi there is support available.

To contact Lifeline Australia, call 13 11 14 or text 0477 13 11 14. For people under 25 years old, you can contact Kids Helpline at 1800 55 1800. Both of these are available on a 24/7 basis.
If you wish to donate blood, you can find your nearest donor centre here.
Share and Follow
You May Also Like
Federal immigration officers at the scene of a reported shooting Wednesday, Jan. 14, 2026, in Minneapolis. (AP Photo/John Locher)

Breaking News: Federal Officer-Involved Shooting Sparks Tensions in Minneapolis

A person has been shot in the leg by a US federal…
Ioannis Vidiniotis, 28, was swimming with his loved ones at Cottlesoe Beach in Perth - the city's postcard location - on New Year's Eve when he struck his head on a sandback.

Heartbreaking NYE Incident at Iconic Aussie Beach Leaves Tourist Facing Life-Altering Consequences

A Greek tourist visiting his family in Australia for the holidays may…

Brace for Impact: Intense Storms and Torrential Rains Target Eastern Australia This Week

A dramatic change in the weather pattern is set to bring widespread…
The festival boasted a range of high-profile international guests including Nicole Kidman and The Kid Laroi.

Leading Tech and Culture Festival to Depart Australia: What It Means for the Future

Renowned arts, technology and culture festival SXSW Sydney has been cancelled after…

Unveiling the Silent Terror: Park Chan-wook’s Latest Masterpiece on Workplace Horror

Every day, we make choices. Cereal or eggs for breakfast. Whether to…
PM hits out at 'stunning' opposition to hate speech, gun reforms

Prime Minister Blasts ‘Shocking’ Resistance to Vital Hate Speech and Gun Reform Legislation

Prime Minister Anthony Albanese has sharply criticized opposition members of Parliament who…
Flooding in Clermont in central Queensland

Queensland Secures Additional $26 Million in Funding to Aid Flood Recovery Efforts

An extra $26 million in disaster recovery funding will be allocated to…
The Queensland government's plans to expand ankle monitoring of youth offenders has been met with criticism.

Controversial Ankle Monitor Initiative in Queensland Sparks Widespread Backlash

The Queensland government’s plans to expand ankle monitoring of youth offenders has…